親知らず
大学病院口腔外科に長期在籍した院長による抜歯
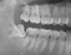
下あごの親知らず

当院においては開業医では避けられてしまう下あごの親知らずの抜歯を積極的に行っていきます。
大学病院から口腔外科の先生をお呼びして行っている歯科医院もあるようですが、当院では口腔外科に長く在籍していた経緯もあることから院長自らが抜歯を行います。
したがって抜歯した翌日に何かあったとしても直ぐに対応が可能です。
下の親知らずに関しては、必ずしも抜歯しなくてはいけないということはありません。
抜かなければならない場合もあれば、触らない方が良い場合もあります。
他院で「下あごの親知らずがあるから抜歯をするように」と大学病院を紹介された患者様も当院にいらしていただければ、ご相談に乗らせていただきますし、必要があれば当院で抜歯を行います。
当院では大学病院の手術室や無菌室レベルの空間で治療を行いますので、他人の歯の削りカスなどの粉塵、細菌そしてウィルスなどが飛び交っている治療室ではない空間で、安心して治療を受けていただけます。
上あごの親知らず
もちろん上あごの親知らずも抜きます。
よく上の親知らずを5秒ぐらいで抜いてドヤ顔をしている先生をお見かけしますが、余程特別な状態でもない限り、恐らく歯科治療の中で最も簡単です。決して抜歯が上手いわけではありません。
術後も全く痛くなかったというのも上あごの性質からいって当たり前です。
ただし上あごの親知らずを雑に抜歯をされると抜き方の問題で歯茎がヒリヒリします。
上あご下あごに関わらず、強引に抜歯をされると必ず術後に痛みを伴います。
抜歯を行うスピードは非常に大事です。
しかしそれと合わせて大事なことは歯の周りの組織を丁寧に扱うということです。
すごく早いスピードで抜歯をしてもらったけど、1年半後に診てみたら親知らずの手前の歯の組織が明らかに下がってしまっていたり歯周病に罹患してしまっていたりというケースは非常に多いです。
親知らずの治療についてご相談受付中です
親知らずを抜くこと自体が不安、抜いた後の痛みや腫れが不安など色々と不安なことは多いと思います。
まずはご相談下さい。
強引に抜歯を行うようなことは絶対に致しませんので、まずは気軽にいらして下さい。
ご面倒であれば電話でも対応いたします。
ただしお口の中を拝見させていただいていないので、明確な回答はご提供できない可能性もございますのでご了承下さい。












